Unraveling Persister Cells' Survival
कलार्थकर्मणां योगो हिनमिथ्यातिमात्रक: ।
सम्यग्योगश्च विज्ञेयो रोगरोग्यैक कारणम् ॥
(Less, more or wrong unison of time, senses and functions is
the reason for disease and the right unison of these three
factors is the reason for health.)
(SOURCE: ASHTANGA HRIDAYAM)
Welcome to Guru’s Lab—where science meets purpose and innovation drives discovery. We are part of the Department of Biological Sciences at the National Institute of Pharmaceutical Education and Research, Hyderabad.
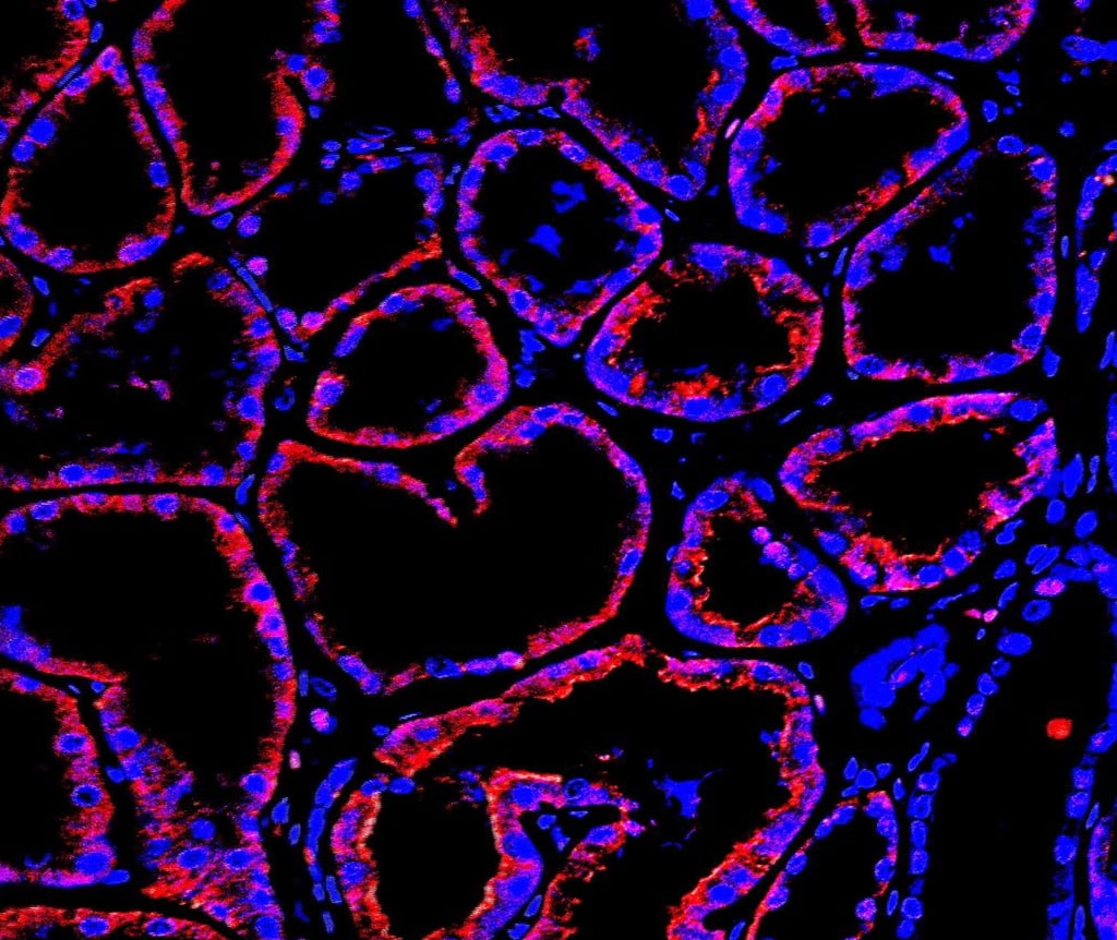
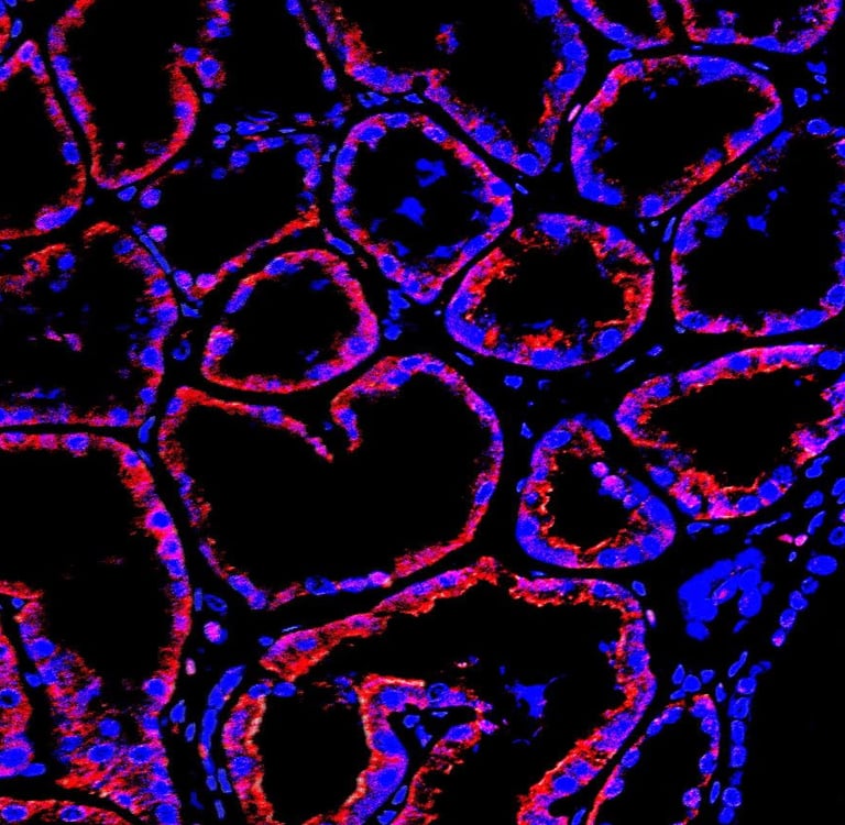
Dr. Guru's lab is at the forefront of oncology research, focusing on drug-tolerant persister (DTP) cells that fuel tumor relapse and resist treatment. By exploring mechanisms like autophagy, epigenetic changes, and metabolic flexibility, the lab decodes how DTPs evade conventional therapies. Their translational approach includes the design of innovative strategies such as small-molecule inhibitors and combination treatments tailored to eliminate these elusive cells. Collaboration with clinicians and industry ensures their findings are not just theoretical but can be applied in real-world patient care. Their success in natural product drug discovery, notably with compounds that inhibit angiogenesis, highlights the lab’s ability to transform basic research into promising therapeutic candidates.
In addition to scientific breakthroughs, Dr. Guru’s lab plays a vital role in mentoring future leaders through immersive training in tools like CRISPR and single-cell analysis. Their interdisciplinary expertise across pharmacology, cancer biology, and omics enables precise identification of DTP vulnerabilities. Looking ahead, the lab aims to tackle resistance by enhancing ferroptosis—a form of programmed cell death—and modifying the tumor’s immune microenvironment. They are also harnessing the power of AI to repurpose existing drugs and fast-track treatment development. This forward-looking strategy positions the lab as both an innovator and a catalyst for change in precision oncology.




Address:
Dr. Santosh Kumar Guru, Ph.D., Assistant Professor
Room: 64, Department of Biological Sciences (Pharmacology & Toxicology),
National Institute of Pharmaceutical Education and Research (NIPER), An Institute of National Importance,
Department of Pharmaceuticals, Ministry of Chemicals and Fertilizers, GOI.
Balanagar, Hyderabad, Telangana, India-500037